短短6个月,肺结节就从6毫米长到了8毫米?这位患者今年63岁,专程从外地坐飞机来

乔贵 2025-11-26 10:02:38

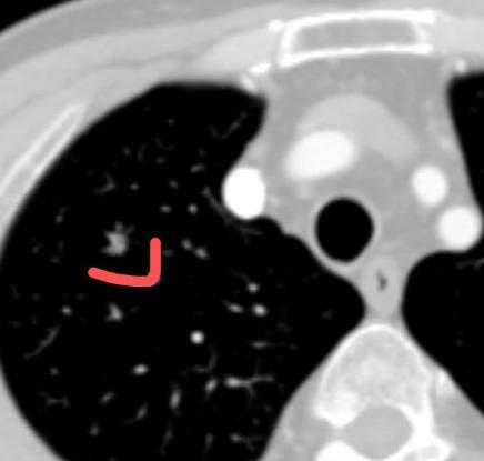
短短6个月,肺结节就从6毫米长到了8毫米?这位患者今年63岁,专程从外地坐飞机来门诊找我。他在体检时查出右上肺有一个实性结节,半年时间就增大了2毫米。 从影像上看,这个结节带有浅分叶,密度也比较高,不少影像科医生都怀疑是早期肺癌,认为发现得很及时。 患者和家属都非常焦虑,态度也很坚决:一定要做手术,他们觉得能这么早发现是“老天帮忙”,必须尽快处理才能安心,再加上看到网上说实性结节很容易出现转移,就更担心了。 虽然结节不大,但位置很深,加上短期内已经出现变化,如果真是肺癌,浸润性和恶性程度可能都不低。如果直接手术,很可能得切掉整个肺叶。 但我心里有些犹豫。因为仔细看影像,结节的边缘其实是光滑的,不能完全排除良性肿瘤的可能。患者已经60多岁,如果直接做肺叶切除,创伤大、恢复慢,对今后的生活质量影响不小。 我认真思索后,建议患者做了三维重建,发现这个结节其实位于右上肺的一个亚段——只需要切除B亚段,范围大约占右肺的5%,比常规的楔形切除范围还小。 这样既能取到组织做病理,也能最大程度保留肺功能。 我们和患者沟通后,决定先做这个亚段切除,术中冰冻病理结果很快出来了:是一个良性软骨瘤。真是非常幸运! 最终,患者只做了一个非常小的切除手术,既明确了诊断,又避免了不必要的肺叶切除。对一位60多岁的老人来说,手术创伤小,恢复也快,基本不影响以后的生活。 这件事也让我再次体会到:作为医生,一定要多站在患者的角度思考,用尽可能小的代价,为他们争取最大的健康获益——这个原则,必须时刻放在心上。[玫瑰][作揖]胸外科乔贵宾医生肺结节[超话]

0 阅读:6
乔贵

乔贵

感谢大家的关注