期刊:Nucleic Acids Research
DOI:10.1093/nar/gkaf1360
前言
锌指抗病毒蛋白(ZAP)是宿主识别病毒CpG二核苷酸的“哨兵”,但是它自身不具备酶活性,需要招募搭档执行 RNA 剪切。KHNYN被证实是ZAP限制多种病毒所必需的结合蛋白,其序列中包含一个推测属于PIN核酸酶超家族的结构域。然而,此前研究检测到该结构域极其微弱且无序列特异性的切割活性,这与KHNYN在抗病毒中不可或缺的地位形成显著矛盾。
因此,KHNYN究竟如何发挥其核酸酶功能、其活性是否受特定因子调控,以及其切割是否具有底物选择性,成为理解ZAP通路分子机制的核心未解问题。
近日,来自弗朗西斯·克里克研究所、伦敦国王学院、阿斯利康的研究人员发现,KHNYN的扩展PIN结构域并非以往认知中的弱活性核酸酶,而是一种严格依赖锰离子(Mn²⁺)的高效内切核糖核酸酶,并在ApC、ApA和UpA序列处表现出切割偏好。
通过解析KHNYN的晶体结构,发现其PIN结构域含有一个独特的N端结构臂,该结构域以锰离子依赖性方式特异性切割RNA。这一结构发现解释了其高效抗病毒活性的分子基础,解决了此前对其弱酶活性的矛盾认知。
除常规的生化表征外,高质量的结构生物学工作为这项研究提供了最坚实的证据和最深度的机制洞察,从而使其达到了高水平期刊的发表门槛。
研究以“KHNYN is a manganese-dependent endoribonuclease required for ZAP-mediated antiviral restriction”为题发表在《Nucleic Acids Research》上。

研究内容
严格依赖 Mn²⁺的内切核糖核酸酶
通过AlphaFold与多序列比对,发现KHNYN较ZC3H12家族多出一段N端延伸(V410–Q434)。构建核心PIN与扩展PIN表达体系,发现仅后者可溶且单分散,说明N端结构臂是蛋白稳定的关键。

图1. ZAP和KHNYN中的结构域
NanoDSF分析显示,Mn²⁺能显著提高蛋白熔化温度(Tm),而Zn²⁺等则导致不稳定。

图2.KHNYN的稳定性
将活性中心的四天冬氨酸基序突变(D524A/D525A)后,酶活完全丧失。

图3. KHNYN内切核酸酶活性
ex-PIN的作用机制与活性调控
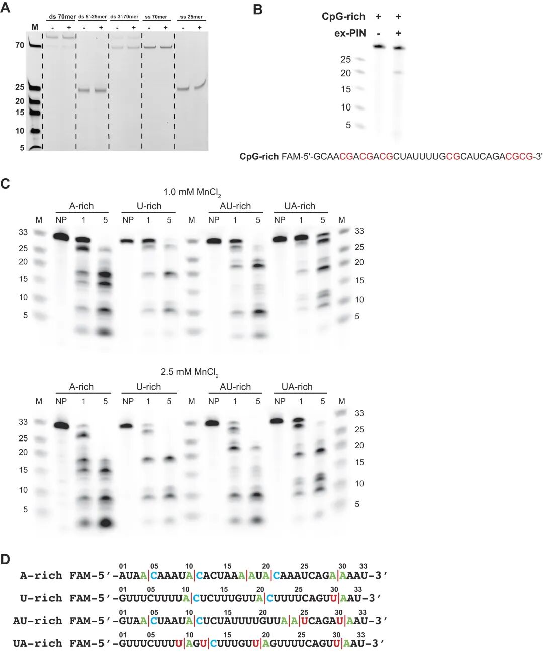
ex-PIN仅切割单链RNA,不切割DNA,且在ApC、ApA和UpA处具有序列偏好性,对ZAP识别的CpG位点切割效率低。

图4. KHNYN内切酶的特异性
生理浓度较高的Mg²⁺和Ca²⁺是ex-PIN的竞争性抑制剂,能在Mn²⁺存在时剂量依赖性地抑制切割活性,这解释了细胞如何避免酶活被非特异性激活。

图5. KHNYN内切酶金属离子抑制作用
结构基础:N端结构臂的关键作用
晶体结构揭示了一个先前未知的N端结构臂,其像“安全带”一样包裹核心结构域,通过大量相互作用稳定整个蛋白折叠。

图6. KHNYN的ex-PIN结构域结构
活性中心的四天冬氨酸基序在无底物状态下已基本形成“预组织”构象,为快速响应Mn²⁺与底物结合做好准备。

图7. KHNYN PIN结构域活性位点
细胞水平的抗病毒功能验证
在细胞实验中,删除N端结构臂或催化双突变均使KHNYN完全丧失对CpG病毒的抑制能力。用同源蛋白N4BP1的PIN结构域替换KHNYN的ex-PIN,嵌合体仍保留抗病毒活性,表明该催化模块的功能在不同蛋白间是保守的。

图8. Ex-PIN结构域突变体及其抗病毒活性
总结
本研究的核心发现是揭示了KHNYN并非一个作用微弱的配角,而是一个严格依赖Mn²⁺的高效RNA内切酶,对ApC、ApA和UpA具有切割偏好性。这一发现彻底更新了我们对ZAP-KHNYN抗病毒复合体降解病毒RNA的认知:ZAP负责识别并锚定富含CpG的RNA,而KHNYN则作为被Mn²⁺激活的“分子剪刀”,在邻近的特定序列位点进行精准切割。
通过原子分辨率晶体结构,研究首次可视化其独特的N端结构臂如何稳定催化核心,并从三维层面阐明其活性位点的金属结合特征,将抽象的生化机制转化为可观测的结构基础,推动了对其抗病毒功能的深入理解。