难得周末,忙碌了一周,终于可以休息一下了。周六早晨,早餐后准备带着孩子到美丽的云龙湖边放松一下,感受一下大自然的秀美景色。突然徐州矿务集团总医院胸痛中心群里面传来了熟悉而独特的短信声。
本能快速的打开胸痛中心的微信群。
患者:男性,68岁,胸痛3小时。
心电图(见下图):急性下壁心肌梗死,目前血压心率尚稳定。

时间就是生命,时间就是心肌。
尽快双抗!
尽快血运重建!
启动绿色通道,尽快转运(120转运)!
一连串的医嘱在群里面下达。可是患者离最近的胸痛中心也有80 多公里。开车也要一个半小时,加上家属还在犹豫。每每遇到这样的情况胸痛中心群里面的专家们都是非常揪心。经过兄弟医院医生的耐心讲解,加上患者濒死的胸痛症状,患者家属同意转运。
路上120救护车风驰电掣,这边导管室,急诊室提前启动,做好准备,绕行急诊室,CCU,尽可能缩短救治时间。

大约2小时,当救护车风驰电掣般的驶进医院,直奔导管室。胸痛中心值班主任、护士、技师已经全部做好准备,在导管室床上再次做一个心电图,同样急性下壁心肌梗死。

在简短沟通并签好心导管检查治疗同意书后,大家熟练消毒,铺巾,穿刺桡动脉。一切都在紧张有序的进行中,大约10分钟,造影检查结果出来了。
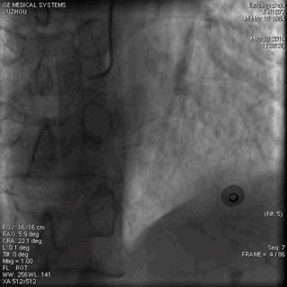
正常,冠脉造影正常。

(右冠脉造影)

(左冠脉造影1)

(左冠脉造影2)
怎么回事?
此时床旁心肌酶结果也出来了,心肌酶异常。结合患者胸痛症状,典型的心电图及心肌酶异常升高,急性心肌梗死诊断明确的。那为什么冠状动脉血管又正常了呢?在这期间又发生了什么?

当我们把冠状动脉检查结果告诉家属。家属喜极而泣。
“谢谢医生,我们以为肯定要放支架呢?现在竟然不需要。原来急性心肌梗死不一定都需要放支架呀。”
那到底是什么原因冠让状动脉血管又正常了呢?
让我们把时间退回到两小时前,原来当患者因胸痛到当地医院后,在做完心电图明确了急性心肌梗死的诊断后,兄弟医院的医生在与患者及家属进行了充分的沟通,建议患者尽快进行血运重建,考虑到转运时间可能超过120分钟,建议先行溶栓治疗后再转运,患者家属接受了治疗意见,医生迅速实施了溶栓治疗并且立刻转运到我们胸痛中心,胸痛中心启动绿色通道,立刻行冠状动脉造影检查。
由于患者溶栓及时,血管再通(未遗留有严重狭窄),无需植入支架,挽救了心肌、挽救了生命,提高了生活质量。

哦,原来如此。原来不是所有的急性心肌梗死都一定需要植入支架呀。
急性心肌梗死的急诊血运重建今天我就想说说急性心肌梗死的急诊血运重建。那么什么是血运重建,血运重建又包括哪些方法呢?血运重建就是通过药物或者器械的办法把堵塞的血管开通的一种治疗方法。急性心肌梗死的血运重建包括药物溶栓及支架植入两种方法。是治疗急性心肌梗死有效的方法。

根据《中国心血管病报告2017(概要)》最新公布的数据,我国心血管病患者约2.9亿。其中每年有近70万例急性心肌梗死(简称心梗)发生,急性心肌梗死是一种极其危险的疾病,死亡率很高,其中大约1/2以上的急性心肌梗死患者在被送到医院之前就已经死亡,仅有3.5万例获得了及时规范的救治。
随着医疗水平的提高以及老百姓科普知识的普及,越来越多的百姓朋友渐渐地接受了支架术。但是可惜的是急性心肌梗死的院内死亡率并没有明显降低,这是什么原因呢?
根据有名的China PEACE研究的数据虽然对于ST抬高性心肌梗死介入治疗的数量提高了,但是对于溶栓这样一个同样有效的治疗方法的比例却越来越低了,导致了急性心肌梗死总得血运重建的比例一直没有明显的提高,最终导致预后没有彻底改善。

CHINA PEACE-急性心肌梗死回顾性研究 院内死亡率并未明显改善!!!

那么对于急性心肌梗死如何诊断和治疗呢,根据最新2019年中国的的急性冠脉综合征快速诊治指南对于急性ST提高性心肌梗死,在明确诊断后,尽可能早的进行血运重建包括药物溶栓和(或)支架植入。

尤其是对于急性心肌梗死发病小于3小时内的心肌梗死,溶栓的即刻效果跟急诊支架差不多。而且运用新型的溶栓药物如尿激酶原,阿替普酶等等,可以有更高的血管再通率,更低的出血风险,对于来不及或者不接受急诊支架术,溶栓治疗也是一个非常重要及有效的治疗手段。

该患者因为及时的给予了溶栓治疗,5天后复查心电图,心脏彩超心功能,心电图基本正常,预后好,获益大。


由于心肌细胞和神经细胞一样,属于不可再生细胞,心肌梗死发作时,被堵塞动脉远端的心肌细胞会失去血液和氧气的供应。超过20分钟,心肌便会出现缺血缺氧性坏死。而且被延误的时间越长,坏死面积越大,死亡率也就越高,预后也就越差。
因此,一旦明确了急性心肌梗死的诊断后,千万不要左打听右咨询,千方百计找关系,而是应该接受胸痛中心主治医师的建议,尽可能早的开通血管,争取尽可能多的挽救濒死的心肌以缩小梗死范围,如果在发病120分钟内开通血管,可以将心肌的损害减到最小。

请您一定要相信您的主治医生,配合医生的工作,因为我们的共同敌人是您的疾患。让我们共同携手,为战胜胸痛这个危急重病一起努力。
文/刁军
文中图片均来源于网络,侵删