
众所周知,糖尿病已然成为冠心病的等危症。中国目前糖尿病患者已经接近1亿,一个冠心病患者如果合并了糖尿病,就会导致冠状动脉病变严重、复杂,大大增加了手术难度,同时也大大降低临床预后,是非常棘手的一类人群。
患者实例最近急诊室遇到一名49岁中年男性患者,因胸闷2小时来院,无胸痛。急诊室查心电图、心肌酶基本正常。给予留观,两小时后复查心电图变化不明显,但是心肌酶轻度异常,考虑存在急性冠脉综合征可能,建议急诊行冠脉造影检查帮助诊断。在取得患者及家属同意并且签署同意书后,急诊冠脉造影检查。
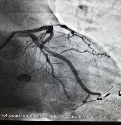
结果一出,术者惊出一身冷汗,我的天呐:三支冠状动脉全部病变:回旋支闭塞,前降支、右冠重度狭窄!
怎么会这样?患者大惊:我平时可不抽烟,不喝酒呀。



/术前/

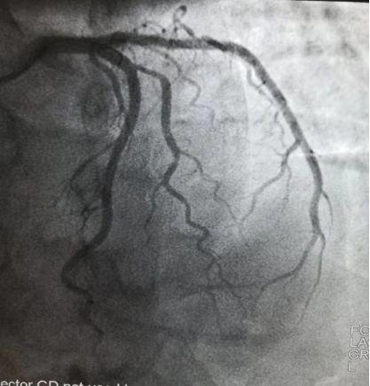
/术后血管通畅/

/术后血管通畅/
追溯病史,患者中年男性,无烟酒嗜好,多年前发现血糖升高,未予重视,没有正规诊断及治疗,急诊室测随机血糖17.1mmol/L,无其他危险因素。
介于该患者介入术后监测血糖及糖化血红蛋白均较高,我们给予达格列净联合二甲双胍控制血糖,其余常规给予双联抗血小板、他汀稳定斑块、预防心室重构等药物治疗,现患者病情较平稳,血糖控制良好,已经康复出院。
冠心病合并糖尿病现在有越来越多的冠心病合并糖尿病的患者,由于长期的血糖侵犯血管,神经,导致很多无痛性心肌梗死发生,很多患者错过最佳治疗时机,预后极差,而且这一类患者冠脉病变大多比较重,多呈弥漫性的狭窄,来院时经常合并心功能不全,令我们心内科医生感到非常棘手。
“糖尿病与心血管疾病是 ‘难兄难弟’,与心血管疾病密切相关”,我们期望能寻找一种可以在有效降糖的同时确保心血管安全性,并能为心血管带来额外获益的药物。

最近我无意间看到朋友圈里面疯传的一个央视新闻的视频,里面是一个关于目前临床用的一种新型降糖药的谈价过程,让我有些忍俊不禁。
出于好奇,我收集了关于他们的一些研究,包括最新的指南,以及中国的一些心血管的顶级专家对指南的解读,详细了解之后,我有一种眼前一亮的感觉。
降糖“神药”:二甲双胍二甲双胍是大家都比较熟悉的降糖“神药”了,作为全球应用最为广泛的降糖药之一,以其价格低廉、疗效显著、低风险,同时还能降低心血管风险的特点获得了医生的广泛青睐,一直是糖尿病患者的一线降糖药。临床使用历史超过50年之久。
不仅是在治疗2型糖尿病占据着霸主地位,二甲双胍在延缓衰老、辅助减肥、对抗雾霾甚至抗癌等方面也开辟了战线并取得了不俗的成绩,是一名名副其实的神药,及跨界明星。
那我们还是来了解一下视频中的这个药品。它就是治疗糖尿病的新型口服降糖药钠-葡萄糖协同转运蛋白2抑制剂(SGLT-2抑制剂,俗称格列净类药物)中的一种达格列净,那么这一类药物到底为什么能够成为网红呢?
2019年8月31日欧洲心脏病学会(European Society of Cardiology,ESC)及欧洲糖尿病研究学会(European Association for the Study of Diabetes,EASD)等多个学术团体联合颁布了《2019年ESC/EASD糖尿病管理指南》(以下简称《2019年指南》),也许从新的指南可以看出一点端倪。

从下表中可以看出对于糖尿病合并心血管疾病或者有心血管极高危和高危患者,钠-葡萄糖协同转运蛋白2抑制剂的推荐级别(I/A)已经超过二甲双胍的推荐(IIa/C)。
也就是说在合并心血管病或具有心血管高危/极高危因素的2型糖尿病患者,首选SGLT-2抑制剂(格列净类)或GLP-1受体激动剂(利那鲁肽类)单药治疗,若血糖不能达标,则在此基础上联合应用二甲双胍。这两类新型降糖药已经正式成为心血管病及其高危人群的首选药物。

此外,2019 年11月16日(美国东部时间)美国心脏协会(AHA)会议上,来自英国格拉斯哥大学心血管研究中心的John McMurray教授正式公布了最新DAPA-HF研究非糖尿病人群结果。
研究证实在心衰患者在标准治疗基础上,加用钠-葡萄糖协同转运蛋白2抑制剂:达格列净可显著降低非糖尿病HFrEF患者心血管死亡或心衰恶化风险(糖尿病患者同样有证据),自此为心功能不全患者治疗提供新的基石治疗(心衰四重奏)。
此外还有相关的研究表明,列净类药物还具有减重,保护肾功能等作用。


那么为什么SGLT-2抑制剂在心血管获益那么大呢?目前主要集中可能表现在以下三个方面:
1、
第一方面,SGLT-2抑制剂可渗透性利尿、增加尿钠排泄的效果,从而降低心脏前后负荷,从容量负荷的机制方面达到保护心脏的作用----改善心功能。
2、
第二方面,SGLT-2抑制剂可以改善心肌能量代谢,在心脏的能量代谢有独到之处。可以使心脏的产能增加,从而增加心肌细胞ATP能量存储。
3、
第三方面,在动物研究中发现,SGLT-2抑制剂可以抑制心肌纤维化,改善心肌重构-----降低心血管风险,降低死亡率。
本次国家谈判有三种SGLT-2抑制剂成交,即达格列净、恩格列净、卡格列净。这三种口服降糖药都经过大型随机化临床试验证实具有可靠的降糖效果、良好的安全性以及肯定的心脑肾保护作用。
而达格列净,更因为其显著改善心衰患者的临床预后而跨界到射血分数减低的慢性心衰治疗领域,成为又一个跨界明星,因为他们已经超越了很多心血管专科用药的临床获益了。
诚然,任何一个事物的存在必然有其存在的价值,每一种药物都有他使用的适应症及禁忌症,每一个患者都是一个独特的个体,我们要个体化治疗,根据自己的主治医师的处方医嘱,我们也真心希望有更多的类似与二甲双胍及列净类的神药或者跨界明星出现,让更多的老百姓获益。
申明:
本文不对文中所提任何药品进行推荐,
有相关疾病请到医院就诊。
作者 刁军
文中图片来源于网络,侵删